Expasyl
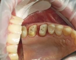
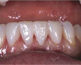
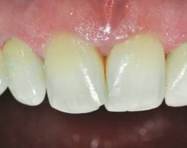
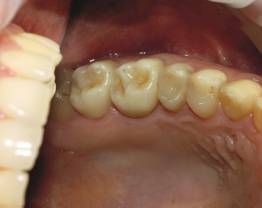
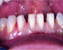
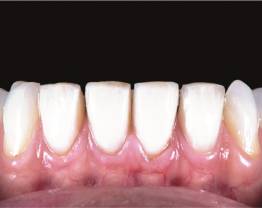
An efficient and atraumatic sulcular opening for a natural and aesthetic prosthesis
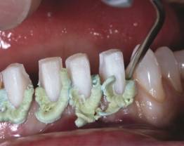
The right pressure for a safe and efficient result
Expasyl benefits from an excellent risk-benefit balance: its viscosity has been specifically calculated to effectively open the sulcus without damaging the epithelial attachment. The quality of opening is the same as this obtained with a cord. Without lesion, resumption of bleeding or pain. Your movement is both safe and efficient. No need to wait for tissue healing since they are perfectly preserved.
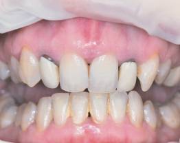
With Expasyl the impression is high precision. The prosthesis is natural, aesthetic, perfectly adjusted. The gum is respected.
Personal space

/>
/>



