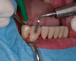
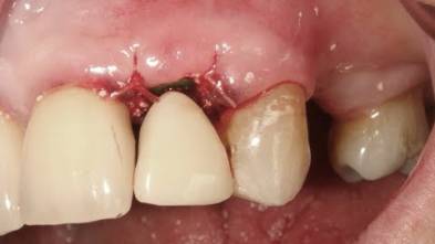
PIEZOTOME® extraction
Adopt Piezotome extractions to maximize bone preservation for immediate implant placement
Piezotome® extraction, a reproducible, reliable and minimally invasive technique
Piezotome® Cube is the way to ensure compassionate care and to provide atraumatic extraction. Indeed, it allows to preserve bone thus making possible to place implants immediately. Piezotome® Cube with its exclusive tip kits is the solution for a minimally invasive extraction.
Personal space

