GingiProtect
EFFECTIVE PRESERVATION OF THE GINGIVAL MARGIN
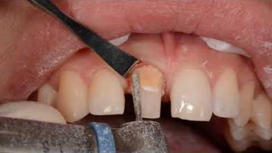
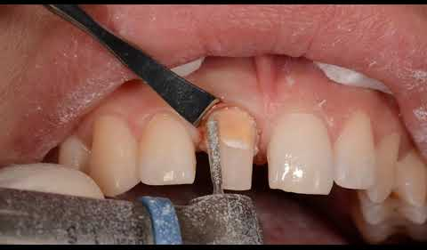
GingiProtect® is a valuable instrument to protect the gingival margin in esthetic restorations.
EFFECTIVE PRESERVATION OF THE GINGIVAL MARGIN
GingiProtect® is a valuable instrument to protect the gingival margin in esthetic restorations.

Two different tips dedicated to protect the cervical limits depending on the surface of the teeth.

No gingival bleeding occurs during the restoration.
The curved tip is dedicated to protect the vestibular limits and the flat tip is used for proximal limits. In that way, the shape of the working part respects the anatomy of the gingival margin.
Access effortless to bonding of ceramic adhesive restorations to finely polish the adhesive gap.
Keep the gingival retraction cord away from the rotating bur.
Remove the residual bonding cement on prosthetic abutments.
Place easily the composite on class V caries: no bleeding occurs when preparing, bonding and polishing.
Identify a rack/root fracture without damaging the periodontic ligaments.