Magnification, diagnosis aid mode, treatment aid mode...To know everything about the functioning of our fluorescence dental imaging device.
How does SOPROLIFE work?
The blue LEDs we selected emit light at 450nm. This wavelength excites dentine which, in reaction, sends a light signal named fluorescence. The fluorescence signal reflected is very small (low intensity) compared to the 450nm intensity sent by the blue LEDs.
What is the use of diagnosis aid and treatment aid mode?
If the treatment aid mode is used for diagnosis purpose, we will obtain on screen an amplification of the red and thus get many « false alerts » due to organic deposits in the mouth of the patient. All these organic deposits generate un very light signal of red fluorescence. If the Mode II was used for the detection a caries, a complete cleaning of the mouth would be necessary to avoid these “false alerts”. The diagnosis aid mode, far less sensitive to all these organic deposits , allows to avoid these « false alerts ».
Is the magnification power of SOPROLIFE higher than a microscope?
Yes, SOPROLIFE can magnify the image up x 115. Can SOPROLIFE also be used as a classical intra-oral camera? Yes, SOPROLIFE is the only concept in the world proposing two different visions. The Daylight mode allows the dentist to use SOPROLIFE as an intra-oral camera under white light for the communication with his patient. The image quality supplied by SOPROLIFE under white light is superior to the others intra-oral cameras.
Adaptation to your dental chair, exchange of your SOPRO camera by SOPROLIFE, selection of a monitor… To know how to install our fluorescence dental imaging device
Can SOPROLIFE be installed on my dental chair?
Yes, we supply specific connection docks to integrate SOPROLIFE in most dental units.
Is it possible to use SOPROLIFE in several examination rooms?
If you work in several examination rooms, each of them can be equipped with a docking station linked to the computer or to the video screen available in this room so that you can carry and use SOPROLIFE in each of the examination rooms.
Is it possible to use SOPROLIFE on a simple video monitor or TV?
Yes, SOPROLIFE can be delivered with a connection dock with Video and S-Video outputs.
Can I exchange my former SOPRO camera with SOPROLIFE in a simple click?
If you already have a Sopro 595, a Sopro 617 or a Sopro 717, you can connect SOPROLIFE hand piece on your present installation without any parameter settings.
SOPROLIFE requires no special preparation for your patient and is not contraindicated.
Do we need to apply a special product on the teeth prior to using SOPROLIFE?
No.
Do we need to clean systematically all the teeth prior to using SOPROLIFE?
No, it is useless to clean prior the first diagnostic in "mode I" of SOPROLIFE. Cleaning with sodium bicarbonate of the suspicious fissure(s) is recommended in order to confirm the carious signal.
Is the blue light from SOPROLIFE dangerous for the patient or the dentist?
No, SOPROLIFE emits no ultra-violet wave.
Is SOPROLIFE advised for children and pregnant women?
Yes, of course. SOPROLIFE is free from any ionizing rays and is the perfect caries diagnosis aid tool for children and pregnant women.
The dental fluorescence imaging device SOPROLIFE is a real plug and play. Its tips only must be sterilized by autoclave.
Must SOPROLIFE be calibrated before use?
No.
Can we sterilize SOPROLIFE at the autoclave?
No. SOPROLIFE must be used with intra-oral barriers supplied with the product. You can contact your dealer to purchase other dental barriers.
Can we sterilize the black tips at the autoclave?
Yes, they can be sterilized at 134°C - 2 bars - 18 minutes. We nevertheless advise you to change these tips after about fifty cycles of sterilization.
Get acquainted with the colors visible on the screen of your dental imaging device by fluorescence to make your dental diagnosis.
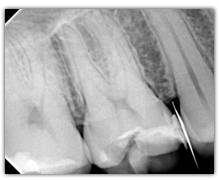
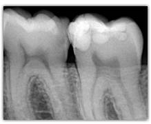
What represent the white, blue, red or black areas which can been seen on the tooth?
According to the pathologies of the tooth (destructured enamel, affected dentine, anfractuous fissure, presence of a crown…), the signal of fluorescence of the dentine will be different (weaker, darker, redder, absent…)
Does SOPROLIFE generates « False alerts »?
When SOPROLIFE generates a red fluorescence in a fissure, it is either due to a caries or to organic deposits. In this case a cleaning (pounce bag, air abrasion linked to Na bicarbonate ) is advised only in the suspicious fissure in order to avoid a falser alert.
Why is the tooth green on the screen?
The spectrum of the signal of fluorescence (let’s call it "its color") is rather in the green when the dentine is healthy and red/dark when the dentine is infected.
Why is the level of intensity of the signal of fluorescence +/- high from one patient to another?
The light must cross the enamel to excite the dentine. Following this excitation, the dentine send back a signal of fluorescence which must cross the enamel to be interpreted. The thicker the enamel is, the weaker the signal of fluorescence is. The intensity of the green light will be weaker and gradually tinted with blue (because of the way through enamel). This is the case for the cusps
Use of the tips supplied, use of the buttons and other devices… To know how to manipulate your dental imaging device by fluorescence.
What is the use of the buttons I et II on SOPROLIFE hand piece?
To shift from Mode I (Diagnosis) to Mode II (Treatment) but also to DAYLIGHT Mode (White light).
What is the use of the black tips supplied with SOPROLIFE?
The protective tip allows to isolate SOPROLIFE from any external light during its use in Fluorescence mode. It is also advised to move the light of the scialytic so that it is not directed at the patient’s mouth.
How to freeze a frame?
SOPROLIFE is equipped with a SoproTouch (Sopro trademark). You just have to brush the SoproTouch once the selected image appears on screen. The image is automatically freezed on screen and saved in your software if it is configured accordingly. If you prefer using a remote control pedal rather than the SoproTouch to freeze the image, you just have to plug the pedal (supplied as option) on the docking station (if this one is equipped with a pedal input). In this configuration, the SoproTouch is inhibited.
Compatibility of your SOPROLIFE, supplied softwares... To know all of the software part of your dental imaging device by fluorescence.
Is it possible to use SOPROLIFE with a computer?
Yes, because SOPROCARE can be delivered with a docking station with a USB 2.0 output.
What is the recommended configuration for Windows®?
Operating system: Windows 10
Processor: Intel Core i5
Memory: 4 GB
Hard disk: 1TB
USB Ports: 4 USB2 Hi-Speed ports
Graphic card : Chipset Nvidia® or ATI® 512MB unshared memory compatible DirectX 9 or more
USB Chipset: Intel or NEC / RENESAS
Screen resolution: 1280 x 1024 or more
What is the recommended configuration for MAC ®?
Computer: iMac 27”
Operating system: Mac OS X El Capitan
Processor: Intel Core i7
RAM: 4GB
Is it possible to use SOPROLIFE with my current imaging software?
Yes, SOPROLIFE is compatible with all imaging softwares.
Is SOPROLIFE supplied with an imaging software?
Yes. If you do not have any imaging software or want to use the Sopro Imaging software for its friendly-use, it is supplied with SOPROLIFE.
Why is the Sopro Imaging software equipped with a module specific for SOPROLIFE?
Sopro Imaging proposes, further to its standard image acquisition mode, a mode of acquisition and of consultation offering a complete dental status of the patient. This status gives also access to a very useful comparison mode during the follow-up of the patient in time as well as a direct access to the consultation of the Clinical booklet.
Is SOPROLIFE compatible with Windows 7, 8 and 10?
Our camera drivers will load and correctly function under Windows 7, 8 and 10 in both the 32 and 64 bit environments. Please be sure to direct the Microsoft Hardware Wizard to use the drivers on the CD or to use those downloaded from our website. You may receive a warning that the driver set is unsigned but this can be safely ignored.
All about the cleaning and maintenance of your SOPROLIFE.
How to clean SOPROLIFE?
SOPROLIFE can be cleaned with a disinfecting wipe (Type Septol from Pierre Rolland).
Which cleaning products are prohibited on SOPROLIFE?
No products with ammoniac, trichloroethylene, dichloroethylene, ammonium chloride , aromatic and chloride hydrocarbons, Methylene chloride, cetones, which can damage the plastic parts.
Can we sterilize the black tips at the autoclave?
Yes, they can be sterilized at 134°C - 2 bars - 18 minutes. We nevertheless advise you to change these tips after about fifty cycles of sterilization.
Warranty period
What is the warranty period of SOPROLIFE?
The standard warranty period is 24 months.