IP1
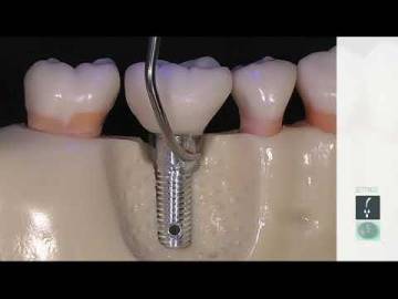
Debridement of the implant abutment and wide threads
Pure titanium tip with a wider extremity for implant abutment cleaning and large thread debridement.
Pure titanium tip with a wider extremity for implant abutment cleaning and large thread debridement.